Jari Putus: Apa perlu dibuat dan Rawatan
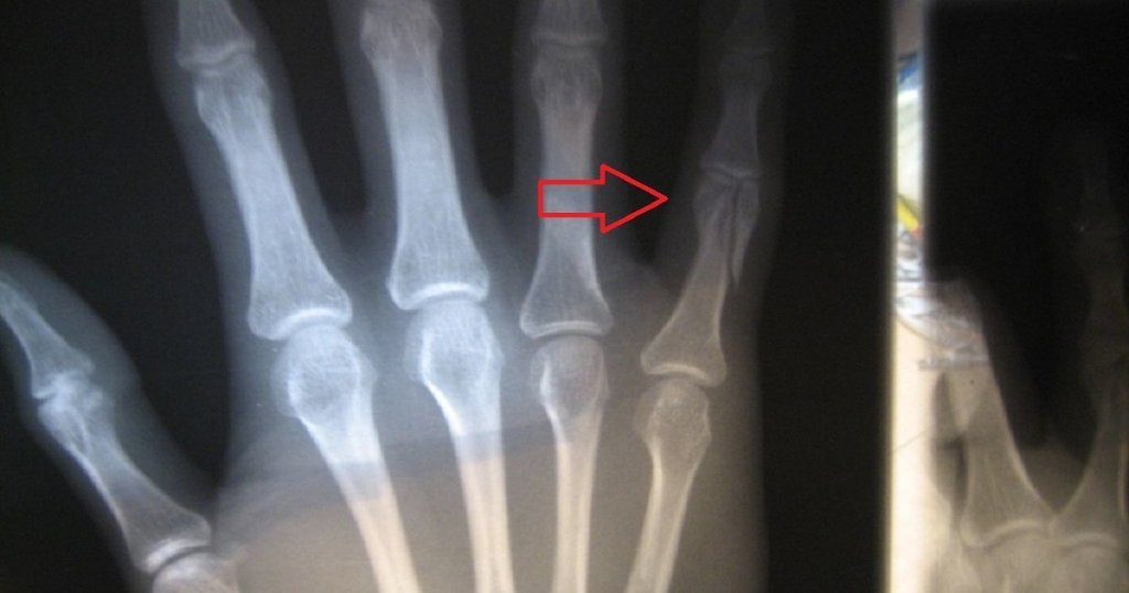
Apakah cara rawatan awal untuk masalah jari putus? Artikel ini akan membincangkan berkenaan kaedah rawatan yang boleh diberikan kepada mereka […]
Apakah cara rawatan awal untuk masalah jari putus? Artikel ini akan membincangkan berkenaan kaedah rawatan yang boleh diberikan kepada mereka […]
Apakah punca kepada gejala sakit perut? Artikel ini akan menerangkan secara lengkap berkenaan masalah ini dan punca-puncanya. Isi Kandungan Pengenalan
Apakah punca dan simptom patah tulang rusuk? Artikel ini akan membincangkan berkenaan rawatan, punca dan simptom untuk masalah patah rusuk.
Apakah simptom jika seseorang itu mengalami patah tangan? Artikel ini akan menerangkan berkenaan masalah tersebut berserta rawatannya. Isi Kandungan Pengenalan
Apakah cara rawatan dan tanda-tanda apabila seseorang itu mengalami masalah patah cari? Artikel ini akan menerangkan cara untuk mengenalpasti cara
Apakah itu demam kuning? Artikel ini akan menerangkan berkenaan masalah ini, punca-puncanya, rawatan dan cara pencegahan kepada masalah ini. Isi
Apakah itu Demam Reumatik (Rheumatic Fever) dan punca-puncanya? Artikel ini akan membincangkan dengan lengkap berkenaan masalah demam reumatik ini berserta
Jerawat di dalam hidung merupakan suatu keadaan menjengkelkan dan ia merupakan tanda jangkitan di dalam hidung. Liang roma anda boleh
Menghidu sesuatu yang busuk dari kawasan persekitaran kita merupakan sesuatu yang normal namun bagaimana pula dengan bau busuk yang datang
Hidung yang gatal boleh menjadi suatu keadaan yang menjengkelkan. Kebiasannya ia hanya berlaku selama beberapa saat sebelum anda bersin. Namun